Пройдите короткий опрос. Это важно для нас ❤️

«Пациентов привозят целыми семьями» Фоторепортаж из «красной зоны» коронавирусного госпиталя в Твери, где лечатся более 200 человек
Мы говорим как есть не только про политику. Скачайте приложение.
Анастасия Чистякова
фотожурналистка
Областная клиническая больница в Твери, как и многие подобные учреждения по всей стране, частично перепрофилировалась — два лечебных корпуса отдали под заразившихся коронавирусом. В одном из них мне удалось побывать еще до открытия. Я увидела замурованные стены — некоторые ходы закрыли, чтобы выздоровевшие не пересекались с больными — специальное оборудование, косметический ремонт и застеленные кровати: здесь уже вовсю готовились принимать пациентов. Пройдет чуть больше двух недель и эти помещения будут почти целиком заполнены.
Принимать «ковидных» здесь начали 10 апреля. Уже в больнице, куда я смогла попасть, чтобы сделать фотографии для тверских СМИ, меня предупредили, что без специальных чехлов со своей камерой и телефоном сюда не пустят. Конечно, ничего из требуемого у меня с собой не было — только большая бутылка антисептика, которой я потом планировала обработать аппаратуру. Врачи меня выручили и дали телефон, который постоянно находится там, в эпицентре коронавируса.

Перед тем, как вы попадете в «красную зону», вашу одежду отберут и выдадут больничную — даже носки. Но это самое легкое: потом на тебя надевают противочумный костюм, две пары перчаток, шапочку, специальные бахилы до колен, очки и, конечно, респиратор высокой степени защиты. Жарко становится буквально за пару минут: сложно представить, как врачи по восемь часов, а то и больше, работают в таком наряде.





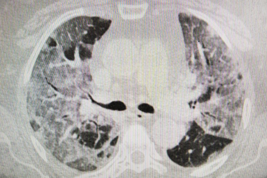
Сейчас в инфекционном госпитале больницы находятся больше двухсот человек. Кого-то выписывают, но на их место тут же везут новых. Врачи рассказывают, что большая часть из поступивших переносят COVID-19 легко — таких примерно 80%. Остальные 20% — очень тяжёлые. Это именно те, кто в зоне риска, в том числе пожилые и люди с хроническими заболеваниями. Спасти удается не всех.




У меня была возможность пообщаться с врачами. Они говорят, что всего хватает, но понятно, что им тяжело — как эмоционально, так и физически. Кому-то пришлось перепрофилироваться: например, Галина Труфанова еще недавно была заведующей пульмонологическим отделением, а сейчас руководит инфекционным госпиталем. На вопрос, что бы она хотела сказать людям, женщина попросила людей по возможности оставаться дома. А также отметила, что пациентов в госпиталь иногда привозят целыми семьями.
В Тверской области подтверждены чуть больше 750 случаев коронавируса, но на ее территории пока не введены жесткие ограничительные меры. Врачи с осторожностью дают какие-либо прогнозы.


