Image
истории

«Они мне все выдернули. Я, получается, весь в крови уже» Вы могли слышать о стоматологических турах в приграничный Китай. Лечиться там дешевле, чем в России. Но многие пациенты привозят домой еще более серьезные проблемы

Giovanni Mereghetti / UCG / Universal Images Group / Getty Images
Источник: Meduza

Мы рассказываем честно не только про войну. Скачайте приложение.

Россияне и до войны ездили ставить зубные импланты и протезы в приграничные города Китая, например Хэйхэ, который даже видно с набережной Амура в Благовещенске. Но если прежде это было удобно и выгодно жителям Сибири и Дальнего Востока, то теперь, когда цены на стоматологические услуги выросли еще сильнее, в китайское приграничье приезжают со всей России. Индивидуальные турагенты и небольшие компании устраивают полноценные туры, а китайские клиники предлагают целые пакеты, куда включено не только лечение, но и, например, проживание в гостинице. Несмотря на низкие по сравнению с российским рынком цены и нередко хвалебные отзывы пациентов, эта индустрия устроена не так просто и прозрачно. А риски навредить своему здоровью и в итоге потерять большие деньги — довольно высокие. Вот что удалось выяснить изданию «Люди Байкала».

«Почему деньги не даешь?! Почему деньги не даешь?!» — возмущается мужчина в голубой майке.

«Потому что ты вымогаешь деньги!» — отвечает человек, стоящий за камерой. Говорит с трудом — рот будто набит ватой.

Действие происходит в номере отеля. После словесной перепалки мужчина в голубом выходит в коридор, обещая вызвать милицию.

«Вызывай, я сам пытался вызвать. Вы вымогаете деньги и заперли мои вещи! Я истекаю кровью, если что», — отвечает оператор.

Это сцена из видео на канале «Impro Life». Так закончилась попытка его автора поставить коронки в одной из стоматологических клиник города Хэйхэ.

Игорь (фамилия не указана по просьбе героя, — прим. «Людей Байкала») в прошлом — предприниматель, последние три года путешествует по Азии. Он в «какой-то момент просто забил на зубы», поэтому, когда в 2023 году обратился за лечением к вьетнамским стоматологам, ему посоветовали удалить пять зубов и поставить на их место коронки. Нужна была и коронка на незаконченный имплант — из десны Игоря торчал металлический стержень.

Во Вьетнаме лечение обошлось бы минимум в 500 тысяч рублей. Игорь стал искать варианты подешевле и наткнулся на сайты, рекламирующие протезирование в «Первой городской больнице Хэйхэ». Отзывы на клинику были «нормальными», и по WhatsApp россиянин связался с китайским менеджером, у которого был российский псевдоним «Павел». 

Примерно полтора месяца Игорь и Павел обсуждали, какое лечение подойдет: потенциальный пациент выслал панорамные снимки челюстей, менеджер предлагал разные варианты протезирования. Игорю понравился вариант за 82 тысячи рублей: включая оплату за проживание в гостинице, удаление зубов и все медицинские процедуры.

В августе 2023 года россиянин прилетел в Хэйхэ. Поначалу все шло хорошо: его встретили, привезли в гостиницу. Сложности начались в больнице. По словам Игоря, он никак не мог убедить то ли заведующего клиникой, то ли главврача, представившегося Яковом, подписать договор с описанием всех процедур, которые ему сделают, прежде чем начинать лечение. Пациента уговорили для начала удалить зубы: «пять-шесть штук». 

В ходе процедуры врач советовался с Яковом, и тот, как вспоминает Игорь, попытался залезть к нему в рот без перчаток: «Я прям руку дергаю, говорю, вы что творите! А он буквально только что, я видел, сидел там, с деньгами рассчитывался».

На этом проблемы не закончились.

«Они мне все выдернули. Я, получается, весь в крови уже. Они меня приводят в кабинет и начинают раскрывать картинки с ценами, которые уже не соответствуют тем, о которых мы договаривались, — вспоминает Игорь. — И главврач мне на листике цены расписывает и что „вот, у вас вырвали девять зубов“. Я говорю: „В смысле девять? Мы с вами договаривались на пять!“» 

Выяснилось, что 82 тысячи — цена за мостовидные протезы из металлокерамики, а те, что хочет Игорь, диоксид-циркониевые, обойдутся почти в три раза дороже. Стоило россиянину обмолвиться, что он согласен на «мосты» попроще, их стоимость тут же выросла в два раза. По словам Якова, за удаление зубов, обточку под коронки, которую пациенту уже тоже сделали, нужно платить отдельно. 

«Я просто спускаюсь на первый этаж, подхожу к ресепшену, говорю, вызывайте милицию. Она мне дает телефон, говорит: вызывайте. Я прошу у них номер, они просто стоят все, ржут и на меня смотрят», — рассказывает Игорь.

Действие местной анестезии подходило к концу, нарастала боль в челюсти, но, по словам Игоря, дать пациенту обезболивающее Яков отказывался, пока тот не заплатит. Прождав полтора часа, россиянин принялся ходить по клинике и рыться в шкафах в поисках препаратов. Только тогда ему согласились дать лекарства.

Так и не заплатив, Игорь ушел в отель. Там и произошла сцена из видеоблога, а Яков — тот самый мужчина в голубом, прибежавший вслед за пациентом снова требовать оплату.

Дешево и быстро

Россияне поехали в Китай лечить зубы в начале 2000-х: это были жители приграничных городов, привыкшие мотаться в соседнюю страну за дешевыми покупками и развлечениями. Из Владивостока ездили лечить зубы в Хуньчунь, а из Благовещенска — в Хэйхэ, город на другом берегу реки Амур. Он так близко, что с центральной набережной можно разглядеть пешеходов на китайской стороне. 

Издание «Амурская правда» в 2013 году писало, что только одна из клиник Хэйхэ «Хуэй-Минь» в месяц обслуживает в среднем сто россиян. Руководитель одной из стоматологических больниц Хуньчуня Ма Фенлонг в 2019-м рассказывал корреспондентам китайского издания XINHUA, что за восемь лет работы его клиника приняла 50 тысяч российских пациентов.

Поездки прекратились на время пандемии COVID-19. Но в 2023 году Китай открылся для туристов, и они поехали лечить зубы с новой силой. Пятеро участников стоматологического рынка Хэйхэ рассказали «Людям Байкала», что поток пациентов уже достиг допандемийного уровня. К примеру, по словам медицинского координатора международного отделения Стоматологической больницы города Хэйхэ Максима Михайлова, до пандемии на лечение приезжали до двух тысяч человек в год. В этом году ожидается больше трех тысяч.

Image
Автобус Хэйхэ — Благовещенск. 10 декабря 2024 года
Qiu Qilong / VCG / Getty Images

Интерес к услуге подтверждают и исследователи стоматологического рынка. По данным команды аналитиков Dental Data, с января по май 2025 года пользователи «Яндекса» вводили поисковые запросы, связанные с лечением зубов в Китае, больше, чем подобные запросы с упоминанием любых других стран. Согласно исследованию, центр стоматологического туризма — приграничный город Хэйхэ, до которого легко добраться из Благовещенска на теплоходе либо автобусе. Он фигурирует в запросах в семь раз чаще Хуньчуня и в 80 раз чаще Пекина.

В основном информацию ищут жители «крупных по численности населения административных центров сибирских и дальневосточных регионов (Новосибирск, Хабаровск, Красноярск, Благовещенск, Иркутск и др.)» и «важных промышленных центров» (Братск, Бийск, Ангарск). Это подтверждают и люди, организовывающие поездки в Китай. По их словам, аудитория таких поездок больше не ограничивается жителями приграничных регионов. 

«Основа из основ у нас — это Сибирь. В принципе, Красноярск, Новокузнецк, Иркутск, много людей едет из Магадана, Сахалина. Якутия, понятное дело. Люди сейчас едут отовсюду. И Калининградская область, и Краснодарский край, и Мурманск, и Архангельск бывает», — говорит руководитель благовещенской компании «СтомТур» Владимир Кузьмин.

В первую очередь россиян привлекают низкие цены. Самая популярная услуга — протезирование зубов коронками. Достаточно объемная работа, чтобы ради нее ехать в другую страну, в отличие от лечения кариеса, но, с другой стороны, не такая дорогостоящая и длительная, как установка имплантов. Стоимость изготовления коронок в Хэйхэ примерно в два раза ниже, чем в соседнем Благовещенске. Кроме того, китайские клиники не берут денег за сопутствующие медицинские расходы, бесплатно селят пациентов в гостиницы, оформляют визы, предоставляют гидов и водителей. Многие клиники также дают гарантию на выполненную работу, по которой коронки можно отремонтировать без доплат, — конкретный пакет услуг «под ключ» зависит от учреждения.

«Самая популярная сумма, которую наши клиенты везут с собой, — 200 тысяч рублей», — говорит Владимир Кузьмин. За эту сумму пациенту могут поставить 28 коронок, закрывающих «зону улыбки», из самого популярного металлокерамического материала. «Все понимают, что проще заплатить за самолет, чем в России за все это отдавать 600–700 тысяч, а то и миллион».

Собеседники «Людей Байкала» из стоматологической индустрии связывают низкие цены с более низкой стоимостью материалов, большей автоматизацией процесса, с тем, что китайские стоматологи и техники (специалист, который изготавливает коронки, — прим. «Людей Байкала») согласны работать в том числе ночью и за меньшие деньги, чем российские. Часто в клиниках есть свои техники, в то время как российские стоматологи заказывают коронки у сторонних специалистов. 

«Китайцы работают всегда „объемом“, то есть они делают все быстро, сроки короткие, и цена, соответственно, за счет того, что много людей, да, люди платят, и у них выходит как бы выгодно. В России у нас с одного человека там по полтора миллиона вытягивают», — говорит Дмитрий, посредник одной из клиник Хэйхэ в Благовещенске.

В России цены на услуги стоматологов постоянно растут в том числе из-за того, что в этой сфере используют иностранные материалы и оборудование. По данным Dental Data, средний чек в клиниках только за первые пять месяцев этого года вырос на тысячу рублей, то есть на 13%. Согласно данным Росстата, средняя цена изготовления коронки в России выросла в два раза за последние пять лет. 

Россияне ищут разные способы сэкономить. На маркетплейсах даже начали продавать наборы для самостоятельного пломбирования зубов. По расчетам тех же Dental Data, ими потенциально могли воспользоваться более миллиона граждан. Развивается региональный медицинский туризм. Его центры: Рязань, Тверь, Тула, куда ездят лечить зубы жители Москвы и Московской области. Средний чек в Рязанской области в 2023 году был ниже, чем в Московской, на 180%. 

Протезирование зубов в Китае дешевле, чем в России, во многом и потому, что стоматологи предлагают более простые и быстрые методы: все лечение в среднем занимает от трех до пяти дней. Скорость — второе преимущество, которое привлекает российских пациентов. Фрилансеру Галине Северовой (имя изменено по просьбе героини, — прим. «Людей Байкала») из Иркутска в сентябре прошлого года изготовили и поставили новые коронки взамен старых на все зубы всего за пять дней. В России она обошла три клиники, и везде врачи говорили, что ей необходимо сначала нарастить кость, вживить импланты на место отсутствующих жевательных зубов и только потом устанавливать коронки.

«То есть процедура растянулась бы на года полтора. На меня из-за этого прям уныние напало. И еще неизвестно, как импланты приживутся. Две мои подружки делали, у них было отторжение. Я себя накрутила — было тяжело это принять», — говорит Галина. 

Пока новые зубы пациентку полностью устраивают. 

«С новыми зубами у меня жизнь стала легче»

Известный якутский волонтер и блогер Антон Васильев каждый день убирает с улиц мусор, рубит дрова и покупает продукты нуждающимся. Васильев говорит, что полностью посвятил себя «добрым делам», поэтому у него нет постоянной работы, нет времени и денег заниматься лечением зубов. К 2023-му во рту их осталось всего пятнадцать. Тогда к Антону обратились с предложением из медицинского центра «Жуйкан» в Хэйхэ — бесплатно съездить к ним на протезирование. Сначала он подумал, что это шутка или обман, но предложение оказалось правдивым. 

«С новыми зубами у меня жизнь стала легче, я больше улыбаться начал. Мне легче начать разговаривать с незнакомыми людьми! Иногда только закрываю ладошками рот по привычке. Раньше у меня там были видны дырки», — говорит Васильев.

По словам руководительницы компании «Хэйхэ-мед» Людмилы Федоровой, которая организовала лечение в центре «Жуйкан», протезирование блогера было благотворительной акцией — она время от времени устраивает такие. По ее словам, Антона никто не заставлял рассказывать о поездке в социальных сетях, он сам это сделал. В инстаграме Васильева есть подборка рилсов о том, как он в первый раз поехал куда-то так далеко (из Якутска в Благовещенск) на поезде, как в Хэйхэ его возили не только в стоматологический кабинет, но и на экскурсии, после окончания лечения вместе с другими клиентами накормили праздничным ужином.

Китайские клиники рекламируют свои услуги через социальные сети: от «Одноклассников» и «ВКонтакте» до телеграма и инстаграма. Клиентов привлекают разнообразными скидками: для пенсионеров, студентов, семей, участников СВО. В гостинице готовы бесплатно разместить сопровождающего, чтобы пациенту было не страшно одному ехать в другую страну.

Иногда лечение зубов преподносится не просто как медицинская процедура, а как элемент увлекательной поездки за границу. Например, блогер из Иркутска Кристина Резя добавила в список авторских туров наравне с отдыхом на Мальдивах поездки в китайский приграничный город Маньчжурия. В программе: проживание в пятизвездочном отеле с бассейном, шопинг в мебельных магазинах и автосалонах, для желающих — протезирование зубов.

Важный источник клиентов для приграничных клиник — сарафанное радио. Например, Антон Васильев, готовясь к поездке, обнаружил, что лечить зубы в Китае уже ездили родственники двух его знакомых, поэтому согласился на предложение. По словам медицинского координатора международного отделения Стоматологической больницы города Хэйхэ Максима Михайлова, в среднем один довольный клиент приводит трех-четырех новых пациентов. 

Но этот поток идет мимо крупных туристических компаний. В Ассоциации агентств медицинского туризма «Людям Байкала» сообщили, что не видят тренда на стоматологическое лечение в Китае. В Ассоциации медицинского и академического туризма подтвердили, что последние десять лет «приграничные города КНР взяли курс на оказание медицинских и оздоровительных услуг жителям Дальнего Востока». Но по словам президента ассоциации Евгения Чернышева, после пандемии спрос на китайскую стоматологию так и не достиг прежнего уровня. Дело в том, что «после ослабления рубля по отношению к юаню стоимость стоматологических услуг не выглядит для дальневосточников столь привлекательной». 

Причина в том, что чаще всего в Хэйхэ попадают либо через небольшие туркомпании, которые специализируются на лечении в конкретных приграничных клиниках, либо через индивидуальных турагентов и посредников, которые представляют клиники в России. Они ведут переговоры с пациентами на русском языке, пересылают врачам информацию о пожеланиях и состоянии клиентов, чтобы выбрать подходящие варианты лечения и рассчитать стоимость, встречают их в Благовещенске, помогают с заполнением документов на границе. В одну клинику могут возить пациентов сразу несколько организаций.

Отдельная группа посредников — русскоговорящие граждане Китая, которые представляются русскими именами: Паша, Леша, Яша и т. д. Они ведут клиентов так же, как и их русские коллеги, но встречают обычно уже по прибытии в Хэйхэ. 

«Мы вам так приклеим — никогда не оторвете»

Мастер по изготовлению кукол Анна Талалайко из Уфы поехала в Хэйхэ восстанавливать зубы в 2018 году. После родов они потрескались и болели от перепада температур. Анна захотела вылечить их и поставить виниры. В России работу оценили в 600 тысяч рублей, но незадолго до этого тетя мужа Анны съездила на протезирование в Китай и посоветовала клинику. 

Так Талалайко получила телефон китайца Якова, который предложил ей лечение в Первой государственной стоматологической больнице Хэйхэ. Все лечение с проживанием должно было обойтись в 157 тысяч рублей. Примерно столько же Анна с супругом потратили на то, чтобы добраться до Китая.

В Хэйхэ пару заселили в отель и тут же повезли, как думала Анна, на осмотр. Но врач — сам Яков — сразу начал сверлить. 

«Что-то мне вкололи, да, но, видимо, это не помогло, потому что очень больно было, очень чувствовалось. Я мычанием каким-то и слезами пыталась показать, а они говорили только: „Потерпи“. И не останавливаясь продолжали дальше», — вспоминает Анна.

К счастью, процесс занял всего полчаса. Но когда стоматолог закончил, пациентка обнаружила, что ей обточили разом без какого-либо предварительного лечения 28 зубов практически до состояния пеньков. Женщине выдали обезболивающее и отправили в гостиницу — ждать вызова сначала на снятие слепков, а потом на примерку. Никаких временных коронок, на которые она рассчитывала, пациентке не поставили, и несколько дней она жила с настолько обточенными зубами, что она не могла их даже почистить из-за боли. 

Когда Анна пришла на примерку, ей показали шесть мостов, хотя она думала, что на каждый зуб поставят отдельный винир. Врач заверил, что это только заготовка. Но когда Талалайко пришла на установку, в руках у Якова были все те же коронки.

«Они мои зубы даже не почистили, не протерли, хотя я несколько дней их чистить не могла. Просто намазали цемент и приклеили эти мосты. Причем, видимо, по форме не очень-то они подходили, потому что при установке очень больно было, чувствовалось, что-то препятствует. Естественно, я высказала им, что договаривались мы совсем не так. Но Яков меня убеждал, что этот вариант гораздо лучше. И переделывать они ничего не собирались», — рассказывает Анна.

Пациентке выдали гарантийное письмо на коронки, и супруги отправились домой, но мосты не давали покоя. Они сидели на зубах «как шапочки на грибочках»: между десной и коронками оставалось пространство, в котором застревала пища. 

Вскоре десны воспалились и закровоточили, а из расщелин посыпался порошок-цемент, появился неприятный запах изо рта. Выяснилось, что с новыми зубами Анна больше не может и нормально пережевывать твердую пищу: на них не оказалось жевательных бугорков. Из-за чрезмерных усилий, которые приходилось прикладывать во время еды, болели мышцы челюсти.

Пациентка написала о проблемах Якову, но тот ответил, что происходит процесс привыкания, который может длиться до полугода. Анна обращалась и к российским стоматологам, но те отказывались связываться с работой другого врача: вдруг пациентка потом пожалуется, что это они повредили новые коронки. 

Примерно спустя полгода после поездки россиянка проснулась от ощущения, что что-то мешается во рту. Анна выплюнула предмет в ладонь — им оказался кусок моста, стоявшего на месте ее верхних передних зубов.

«Стоматологический конвейер»

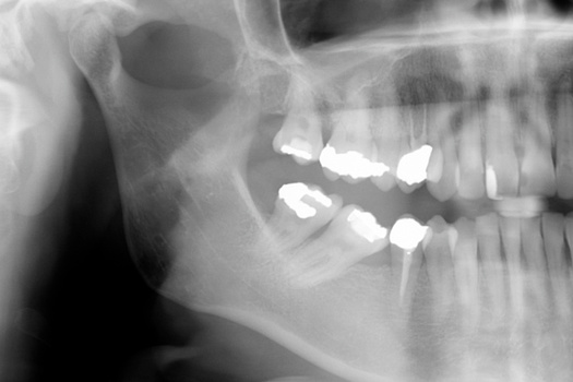
Главный врач одной из благовещенских стоматологических клиник, стоматолог-ортопед, хирург Ростислав Макагон сталкивается со случаями неудачного протезирования, сделанного в Хэйхэ, на протяжении всей своей практики — 12 лет. По его словам, чаще всего пациентам слишком быстро, грубо и без достаточного охлаждения обтачивают зубы, из-за чего происходит воспаление нервов — пульпит. Если вовремя не оказать помощь пациенту, то воспалительный процесс будет распространяться. 

«Грубо говоря, были ситуации, что у человека отсутствовал зуб. Ему обточили соседние. Их по итогу пришлось удалить, и отсутствующих зубов становилось три», — рассказывает Ростислав Макагон.

В погоне за скоростью техники не слишком заботятся и о том, чтобы коронки идеально подходили пациентам, — это чревато осложнениями.

«Если у меня техник пытается скопировать форму зубов пациента, которые были с противоположной стороны, то там в Китае зачастую это просто такие пеньки, покрытые керамикой. Без бугорков, которые необходимы для жевания. И зачастую у таких пациентов проблемы потом с височно-челюстным суставом. Больше усилий нужно прикладывать, чтобы жевать плоским зубом. Иногда бывает, что у пациента остается только одна жевательная сторона», — рассказывает Ростислав Макагон.

Еще одна проблема — недостаточное количество опор. По словам стоматолога, он встречал в своей практике случаи, когда на четыре зуба пациенту устанавливали мостовидные протезы во всю челюсть. Через полтора года всю конструкцию приходилось удалять — вместе с зубами: «В техническом плане исполнить то, что пожелает пациент, легко. И это можем сделать и мы, ну, любой врач может сделать и техник. Но это должно быть еще биологически обосновано».

По словам санкт-петербургского стоматолога-ортопеда Михаила Волкова, грамотные специалисты предлагают более сложные и длительные методики лечения не для того, чтобы побольше заработать, как часто кажется пациентам. 

Качественная стоматологическая работа проводится по чуть-чуть, в несколько этапов. Требуется устранение инфекции, оценка состояния положения зубов, состояния сустава. Может быть, какие-то зубы нужно переместить (с помощью ортодонтического лечения, — прим. «Людей Байкала»), какой-то зуб безнадежный, и его нужно удалить, поставить имплантат. Если работа делается за три дня, на такие вещи, естественно, никто не смотрит, выбирают максимально простой путь: «Есть зубы, их недостаточно, они не очень, давайте сделаем бело-ровно на том, что есть. И все».

Пациенты должны быть готовы, что работы, выполненные на «стоматологических конвейерах», в каких бы странах они ни находились, с большой долей вероятности будут выполнены менее аккуратно, без внимания к деталям. Опасны они и тем, что обычный человек, не имея должной квалификации, ошибки сразу и не заметит, а только порадуется красивым зубам. 

Если в итоге пациент остался недоволен лечением, по словам специалиста по законодательству КНР Павла Бажанова, привлечь медицинскую организацию к ответственности теоретически можно. Но на практике это маловыполнимо, потому что требует много времени и денег. Нужно подать официальную жалобу в местное управление здравоохранения или обратиться в суд по месту нахождения клиники. Для этого понадобятся переводчик и китайский адвокат. 

Осложняет дело и то, что китайское законодательство не обязывает врачей заключать письменный договор с пациентами. Восемь из десяти опрошенных для этого текста пациентов китайских клиник не подписывали с медицинскими учреждениями никаких договоров: им только выдали на руки гарантийные карточки или письма. Большинство это не смутило.

«Я ехала с полным доверием, потому что у меня был, как бы так сказать, из рук в руки передан контакт. То есть, как бы, я услышала положительный отзыв от реального, конкретного человека — соответственно, я абсолютно даже не заморачивалась насчет этого. Я знала, что они дают гарантию, эту карточку дают. Вот. Но у меня не было, как бы, такого, знаете, чтобы там вести расследование. Я ехала решать свою задачу», — рассказывает Галина Северова, удачно протезировавшаяся в Хэйхэ год назад.

По словам Северовой, ей предлагали заключить договор, если она сильно этого хочет, но женщина решила, что «он будет на китайском, поэтому она все равно ничего в нем не поймет», и отказалась.

Найти статистику о том, сколько российских пациентов остаются в итоге недовольны услугами стоматологов Хэйхэ, «Людям Байкала» не удалось. Но в августе 2024 года Генеральное консульство России в Харбине «из-за участившихся случаев разногласий и конфликтов» выпустило предупреждение для туристов, которые «посещают приграничные города Китая в целях получения стоматологического лечения».

Граждан России попросили «помнить, что рекламные материалы китайских клиник на русском языке могут не соответствовать реальной обстановке». Им порекомендовали «внимательнее относиться к выбору клиники, заранее оговаривать объем работ, стоимость и способ расчета, не пренебрегать чтением договора на оказание услуг и брать документы, подтверждающие оплату».

На запрос о комментарии в ведомстве не ответили.

«Я им пригрозил МИДами, консульством и так далее»

Проснувшись с отвалившимся куском мостовидного протеза во рту, Анна написала Якову. Он согласился снова принять их с супругом в клинике — тоже бесплатно, переделать свою работу и поставить Анне отдельные коронки на каждый зуб, как они договаривались изначально. Но 150 тысяч за дорогу все равно пришлось заплатить. В этот раз их уже никто не встречал. Да и врач, по воспоминаниям Анны, на приеме не улыбался как в первый раз. 

«Я привезла выпавшие коронки просто в салфетке — летела в самолете, получается, без передних зубов. Когда я ему передала эти зубы, они там со своим ассистентом стали что-то бурно выяснять. И потом Яков говорит, открывай рот, сейчас приклею. Я как бы стала возмущаться: как это так? В смысле, я летела сюда, чтобы вы просто мне приклеили обратно. Они опять там на китайском стали ругаться с этим ассистентом. После этого мне сказали, ладно, я все переделаю», — вспоминает Талалайко.

Но когда Анна вернулась к врачу, ей установили такие же мосты, что и в первый раз. На все вопросы отвечали, что профессионалам лучше знать, какие коронки ей нужны.

«Была еще такая фраза, что, если у вас еще что-то отклеится, приезжайте снова, мы вам так приклеим, что никогда не оторвете. После этого я решила, что, если что, я лучше к ним больше не поеду, потому что не хочу всю жизнь с этими коронками ходить», — говорит Анна.

Первые пару месяцев зубы не болели, но потом вернулось и кровотечение, и запах изо рта, мосты начали снова отклеиваться и разваливаться. Когда Анна все-таки нашла клинику, где ей согласились переделать работу Якова, врачи «были в ужасе»: зубы обточили грубо и слишком сильно, поставили на них коронки неподходящей формы и использовали временный цемент. У женщины осталось всего четыре целых зуба во рту — зубы мудрости, которые не затронули во время протезирования.

Анна пыталась потребовать от Якова компенсации по переписке. Сначала он писал, что клиника все возместит, нужно только дождаться главного врача, который недоступен из-за начавшейся пандемии. Но потом заявил, что клиника пациентке ничего не должна. Талалайко не стала пытаться «что-то предъявить», потому что понимала, что вряд ли сможет чего-то добиться, находясь в другой стране.

Игорь, снявший видео о неудачном опыте протезирования, зашел в стремлении призвать к ответственности китайских врачей дальше. После скандала в гостинице он договорился с менеджером Павлом, что ему установят мосты за 150 тысяч рублей. Россиянину дали расписку, что на время, пока будет заживать десна, ему установят временные коронки, а затем постоянные мостовые протезы. У Игоря поднялась температура, он не мог есть ничего, кроме жидкой пищи, потому что обточенные зубы болели от любых перепадов температур. Один раз менеджер согласился прислать в его номер медсестру с капельницей, но доделывать работу никак не вызывали. А спустя четыре дня работники гостиницы попросили Игоря съехать, потому что комната была оплачена только на этот срок.

«Мне это все надоедает! Я кое-как разбираюсь в китайских картах, нахожу департамент здравоохранения Хэйхэ, прихожу туда, и что вы думаете? Руководитель отдела департамента здравоохранения звонит в эту же клинику, дает мне трубку, и отвечает мне опять тот же самый главврач. Ну в общем, я им пригрозил МИДами, консульством и так далее», — рассказывает Игорь.

По возвращении в гостиницу его снова встретил Яков, отдал уже заплаченные Игорем за лечение деньги — за вычетом проживания в гостинице — и сказал, что больше лечить его не будут.

После того как Игоря отказались лечить в Хэйхэ, он поехал ставить временные коронки на обточенные зубы в столицу провинции Хэйлунцзян — Харбин. Там же он пожаловался на клинику в генеральное консульство. Сотрудники сказали, что подобными вопросами не занимаются, и дали контакты нескольких юристов. 

В итоге взяться за дело россиянина согласились только в одной юридической фирме, но после того, как Игорь отправил туда имеющиеся у него документы, отвечать на письма там перестали.

Яша, Яков и Яков Семенович

Истории Игоря и Анны «Люди Байкала» нашли по отзывам, которые герои оставили в интернете в адрес Первой государственной больницы города Хэйхэ. В обеих фигурировал китайский то ли врач, то ли менеджер, который представлялся именем Яков. Но выяснилось, что речь идет и о разных клиниках, и даже о разных «Яковах».

Image
Вид на Хэйхэ из Благовещенска. 6 мая 2024 года
Dmitrii Rud / Shutterstock.com

Игорь заподозрил, что что-то с его больницей не так, когда получал визу в китайском консульстве во Вьетнаме. Оказалось, что согласно лицензии, которую прислали для оформления документов, его приглашали пройти лечение в другом месте — в частной клинике «Ноя Боши». Сотрудников консульства несовпадение названий поначалу смутило, но представители медучреждения поговорили с ними по телефону, дослали документы, поэтому Игорь решил, что переживать не стоит.

Согласно китайскому приложению с картами Baidu, по адресу, который был указан в лицензии, действительно находится эта клиника. В приложении Dianping, где граждане Китая оценивают различные учреждения, в том числе и больницы, его оценка — 3,5, есть отзывы от местных жителей. На нескольких русскоязычных сайтах корреспондент «Людей Байкала» обнаружила новую лицензию от 2024 года с тем же адресом, где стоит название «Первое комплексное амбулаторное отделение».

Когда корреспондент «Людей Байкала» позвонила Павлу, через которого Игорь организовывал поездку, мужчина, взявший трубку, представился менеджером поликлиники «Доверие», находящейся по другому адресу. Тот же самый телефон сегодня можно найти на сайте, который рекламирует поездки уже в третье лечебное учреждение — «Хэйхэйскую Китайско-российскую больницу Дружбы». Объяснить это Павел не смог. Игоря он вспомнил. По словам Павла, пациент знал о стоимости до того, как его начали лечить. Конфликт с ним он объяснил «вредным характером» россиянина. 

Найти контакты «Якова», появляющегося и в видео Игоря, и в видео ютьюб-канала, который связан с сайтом «Хэйхэйской Китайско-российской больницы Дружбы», не удалось. Однако, во «ВКонтакте» c 2020 года есть группа «Стоматолог Яша из Хэйхэ — мошенник», где опубликованы десятки отрицательных отзывов на работу некоего «помогая» Яши. Он представляется то врачом, то владельцем клиники, а на деле не имеет медицинского образования и организовывает лечение россиян. Внешне мужчина очень похож на «главврача» клиники, где лечился Игорь.

Анна Талалайко столкнулась с другим «врачом» — Яковом Семеновичем. Яков Семенович до сих пор регулярно выкладывает видео с довольными пациентами в группах во «ВКонтакте» и «Одноклассниках». У него есть и собственная страничка в соцсетях, где указано, что мужчине 45 лет, он родом из Харбина. На сайте, который он рекламирует, фигурируют два названия: «Государственная стоматологическая больница № 1» и китайское «黑河市海兰医院», что переводится как «Клиника Хайлань». Корреспонденту «Людей Байкала» удалось найти ее на одном из китайских сайтов по поиску лечебных учреждений, где указано, что это частная клиника, которая занимается не только стоматологией, но и пластической хирургией. 

«Люди Байкала» написали Якову Семеновичу по вотсапу на телефон, указанный как контактный на сайте его больницы, но он так и не ответил. 

Пациенты, довольные Яковом Семеновичем

В социальных сетях Якова Семеновича можно найти как гневные отзывы, так и хвалебные комментарии пациентов. По всей видимости, он больше не лечит их сам, а только организовывает поездки. Муж Маргариты Дмитриевны (фамилия не указана по просьбе героини, — прим. «Людей Байкала») из Бурятии в прошлом году при посредничестве Якова Семеновича поставил коронки на 27 зубов. По словам женщины, она сама фельдшер и, наблюдая за тем, как проходил процесс лечения, не нашла к чему придраться: в кабинете было чисто, Яков Семенович всегда надевал перчатки и маску, заглядывая в рот ее мужу, когда врач спрашивал его совета. Хотя у мужа был кариес на передних зубах, стоматолог лечить его не стал, а просто подточил зубы под новые мостовидные протезы: «Этот процесс, конечно, меня так удивил. Я его спросила, а лечить не надо? Он сказал, все нормально. Ну, пока вот нормально, не знаю».

По словам руководителя благовещенской компании «СтомТур» Владимира Кузьмина, к нему, бывает, обращаются пожилые женщины, желающие пройти лечение именно у Якова: «Ну, я говорю, что не знаю, чем им помочь. Видимо, ездила ее подружка и ей сделали все хорошо».

Кузьмин сотрудничает с учреждением, которое находится по тому же адресу, что и клиника, где лечили Игоря. По его словам, это Первая комплексная поликлиника города Хэйхэ.

При подготовке этого материала «Люди Байкала» нашли по меньшей мере восемь разных адресов, где, по информации различных русскоязычных сайтов, находятся «Первая городская/государственная больница г. Хэйхэ», или «Первая комплексная поликлиника Хэйхэ», или «Государственная стоматологическая больница Хэйхэ № 1» и т. д. При проверке оказалось, что там указаны адреса либо названия различных частных клиник. 

Бывает, что на одном сайте выложены фотографии совсем разных больниц, название может меняться несколько раз на одном и том же ресурсе, адрес на лицензии — не совпадать с адресом на сайте. Все представители клиник, с которыми мы связались, утверждали, что работают на государственные организации, их филиалы либо учреждения, созданные в ходе частно-государственного партнерства, но найти подтверждений этому не удалось. Кроме одного случая.

Чтобы понять, есть ли в Хэйхэ государственные стоматологические больницы, «Люди Байкала» воспользовались китайским сервисом для записи к врачам и приложением Dianping (позже перепроверили информацию по материалам китайских СМИ, которые публиковали официальные заявления Комиссии по здравоохранению муниципалитета Хэйхэ). Так мы нашли Максима Михайлова, медицинского координатора Стоматологической больницы города Хэйхэ.

По словам Максима Михайлова, несколько частных клиник, работающих в Хэйхэ, действительно под видом государственных учреждений приглашают российских пациентов. Часто они не заключают договоры, их посредники занижают фактические цены, чтобы привлечь клиентов, и дают нереалистичные прогнозы о скорости лечения. За три-пять дней возможно протезировать только пациентов, которые прошли предварительную подготовку в России. 

«Это очень важно. Если человек не выполнит рекомендации, данные нашими врачами, мы его не примем. Здесь в Хэйхэ есть предложения, когда людям обещают сделать абсолютно все за три-пять дней, включая удаление, лечение и протезирование. И многие люди этому доверяют, хотя есть протокол единый для всего стоматологического мира: к примеру, если удаляется зуб, то на заживление отводится 3–4 недели», — говорит Максим Михайлов.

А что сказали в других клиниках про обязательную подготовку?

По словам руководительницы компании «Хэйхэ-мед» Людмилы Федоровой, в центре «Жуйкан» также просят пройти предварительное лечение дома, но в несложных случаях готовы взяться за работу и если пациент этого не сделает. То же самое рассказал о клинике, с которой он сотрудничает, посредник Дмитрий из Благовещенска.

У руководителя благовещенской компании «СтомТур» Владимира Кузьмина другое мнение: «В основном всю подготовку можно сделать в Китае за те дни, сколько ты там находишься. У нас страна огромная. Если взять Якутию, то люди живут в таких населенных пунктах, где стоматолога, сами понимаете, за 300–500 верст нет рядом. Они приезжают с тем, что у них есть во рту. И уже врачи в Китае все это приводят в порядок».

По мнению Кузьмина, часто проблемы между клиникой и клиентом возникают из-за недобросовестных посредников, которые скрывают от пациентов реальную стоимость и условия лечения.

Даже если менеджеры клиники не предлагают пациентам пройти предварительное лечение в России, они могут сделать это самостоятельно. По словам Ростислава Макагона, к нему начали обращаться пациенты, которые просят подготовить ротовую полость перед поездкой в Хэйхэ. Кроме того, китайские ортопеды начали ставить пациентам коронки из диоксида циркония, под который, как правило, меньше обтачивают зубы. С этим он связывает рост качества встречающихся ему китайских работ.

По словам стоматолога-ортопеда Михаила Волкова, если человек проходит предварительную подготовку перед лечением, есть «потенциал к тому, что работа будет выполнена качественно и за пять дней». 

«Это будет грубым обобщением, если я скажу, что нет, невозможно и все. Я уверен, что существует специалист, который справился бы с таким и сделал это хорошо», — рассуждает Волков. 

Но стоматолог уточняет: все равно лучше, чтобы врачи восстанавливали каждый зуб в ходе «отдельной реставрации», а не закрывали всю челюсть по желанию пациента коронками: «Но тут уже медицина может вступать вразрез с бизнесом». 

Рекомендовать лечение в приграничных китайских клиниках он не может.

И все-таки это дешево

Повар одного из детских садов Хабаровска Светлана Ким год назад ездила лечиться в клинику «Доверие» в Хэйхэ — ту самую, в которую можно попасть почему-то через сайт, рекламирующий лечение в «Хэйхэйской Китайско-российской больнице Дружбы». До этого она пользовалась в основном услугами стоматологов в поликлинике по прописке. Обращаться к ним приходилось часто: как и у Анны Талалайко, у женщины испортились зубы после беременности, передний зуб просто сломался спустя две недели после родов. Опыт взаимодействия с российскими стоматологами остался противоречивым: Светлане приходилось неделями ждать приема, потому что она не могла поймать свободные окошки на сайте поликлиники. Один зуб из-за неправильного лечения пришлось удалить.

По словам Ким, в китайской клинике использовали технологии, которых она не встречала в России — например, 3D моделирование, — врачи были более вежливы, анестетик подействовал на нее лучше, чем обычно. При этом заплатила она в два раза меньше, чем отдала бы на родине, — 170 тысяч.

«Я сравниваю не с высокопрофессиональной, а именно с бюджетной стоматологией. Думаю, Китай рассчитан не на высокий класс обеспеченности, хотя туда разные люди приезжают, на самом деле», — рассуждает Светлана.

Михаил Волков признает, что качественную стоматологию могут позволить себе немногие россияне:

Я работал в среднем сегменте, премиум-сегменте и в сегменте элитном. Чем дешевле ценовая политика, тем сложнее, как правило, клинические случаи. Это довольно сильно связывает возможности того, что стоматолог может предложить и насколько он может улучшить качество жизни пациента. Когда ты пытаешься развиваться, ты в итоге заканчиваешь в довольно высоком ценовом сегменте. Просто потому, что у тебя есть возможность использовать качественный материал и качественное оборудование.

* * *

Игорь согласен с тем, что протезировать зубы в Китае можно, только предварительно подготовившись. И быть готовым, что цена может внезапно вырасти.

«В любом другом случае никогда и ни за что не приезжайте в Хэйхэ делать зубы!» — резюмирует он в конце своего видео.

Анна Талалайко лечит зубы до сих пор. В России ей восстановили прикус, установили новые коронки, но в корнях зубов начали образовываться кисты, как говорят врачи, из-за слишком агрессивной китайской обточки. Один зуб она уже удалила, скорее всего, придется вырвать еще два и поставить взамен импланты. По словам Анны, на лечение она потратила уже около полутора миллионов рублей. 

Как оказалось, с тетей мужа, которая и посоветовала ей клинику, семья супруга практически не общается.

«Люди Байкала»

  • (1) СВО

    «Специальная военная операция» — так власти РФ называют вторжение российских войск в Украину.