Пройдите короткий опрос. Это важно для нас ❤️

Почему травмировать или потерять большой палец руки хуже, чем любой другой? И как врачи помогают таким пациентам? Фрагмент книги ортопеда Роя Милза «Кости: внутри и снаружи»
Мы рассказываем честно не только про войну. Скачайте приложение.
В конце мая 2021 года в издательстве «Манн, Иванов и Фербер» выходит книга американского ортопеда Роя Милза «Кости: внутри и снаружи» (перевод Василия Горохова). В первой ее части автор объясняет, как устроены кости у людей и животных, каким заболеваниям они подвержены и как их лечить. Кстати, Милз, говоря о том, как формировалась современная ортопедия, подробно рассказывает о работе Гавриила Илизарова и Николая Пирогова. Вторая часть книги посвящена роли костей в палеонтологии и развитии человеческой культуры.
С разрешения издательства «Медуза» публикует фрагмент главы «Инновации в ортопедии».
Представьте, что вы бросаете мяч, держите ручку или застегиваете пуговицы. Обратите внимание, что при выполнении этих действий большой палец направлен подушечкой к остальным — он стоит на пути их свободного движения. Именно благодаря такому расположению большого пальца мы играем в баскетбол, подписываем чеки и одеваемся. Большой палец может отклоняться из этой позиции внутрь и наружу, поэтому его называют противопоставленным. Мы редко отдаем должное столь удивительной способности, однако именно это качество большого пальца в сочетании с большим мозгом и несколькими сотнями тысяч лет развития человечества породило цивилизацию. Переход от наскальных рисунков в пещерах к отправке твитов, от швыряния камней в голодных львов к матчам с «Тиграми» и от шитья шкур к управлению швейной машинкой был лишь вопросом времени.
Все, что создано руками человека, создано благодаря противопоставлению большого пальца. Его значимость подчеркивают самые разные языки мира. На языке фарси слово šast означает и «шестьдесят», и «большой палец» — словно он отвечает за шестьдесят процентов функции руки.
По-турецки большой палец — başparmak, «главный палец», а на латыни его называют pollex, от глагола polleo — «быть сильным». «Даже без всяких других доказательств, — писал Исаак Ньютон, — большой палец убедил бы меня в существовании Бога».
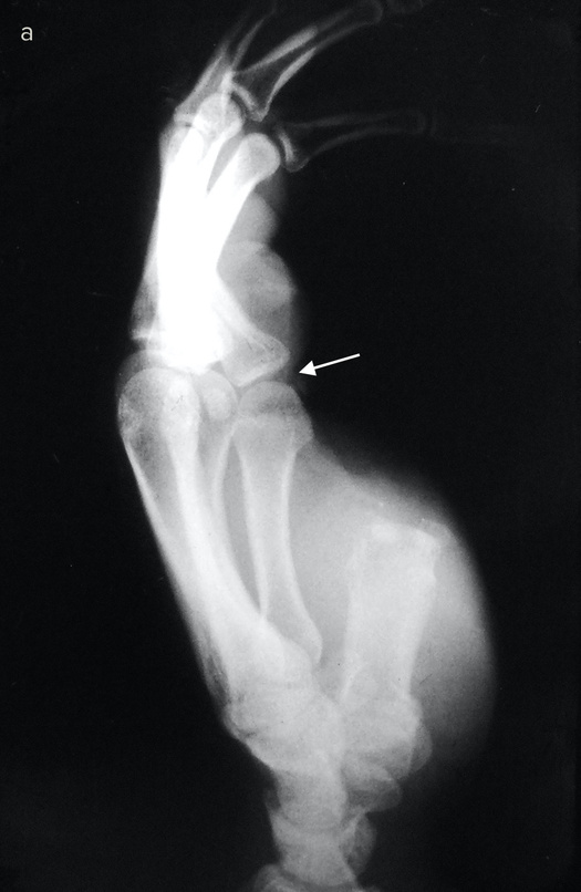
Этот удивительный палец немного нескладно выступает из кисти и участвует почти во всем, что мы делаем руками, поэтому риск травмировать его довольно велик. Если большой палец серьезно поврежден, человек сразу понимает, насколько трудно обходиться без него в современной жизни. Если вы потеряете любой другой палец, оставшиеся неплохо справятся с работой.

Кистевые хирурги все это знают и при необходимости будут трудиться ночь напролет, лишь бы вернуть поврежденный палец на место. Даже полностью отделенный большой палец можно успешно приживить — реплантировать. Его чувствительность, подвижность и сила никогда полностью не восстановятся, но так, безусловно, лучше, чем вообще без пальца.
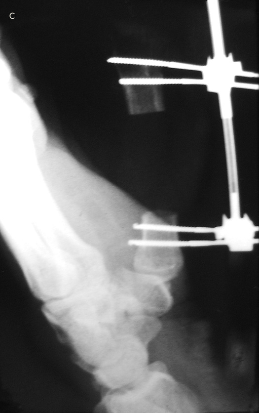
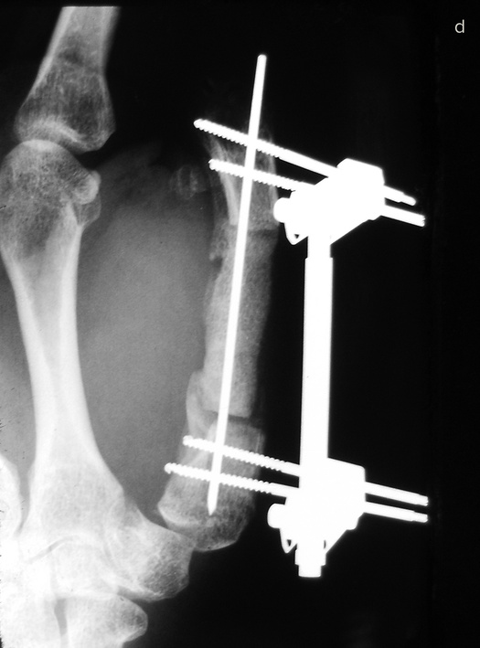
Если восстановить или приживить эту важнейшую часть кисти невозможно, ее реконструируют. Существует три основные методики, которые я условно называю «упросить», «одолжить» и «украсть». В первом случае хирург и пациент как бы упрашивают обрубок большого пальца вырасти в длину. С обоих концов оставшейся кости хирург вставляет поперечные стальные шпильки, прикрепляет эти шпильки к стальной раме и разрезает кость между ними.
Пациент каждый час поворачивает небольшую ручку этого приспособления, напоминающего аппарат Илизарова, и по чуть-чуть увеличивает промежуток между фрагментами кости. Процедура длится от шести до восьми недель. Кость и окружающие ее мышцы, сухожилия, нервы и кожа едва ли понимают, что их растягивают: для них это просто какой-то очень быстрый рост, и им надо успеть.
Когда большой палец вновь обретает рабочую длину, хирург заполняет промежуток костным трансплантатом. Преимущество такого способа удлинения в том, что не приходится ничего «одалживать» или «красть». Однако не все так радужно: ноготь и отсутствующие суставы большого пальца уже не вернуть.
Другие четыре пальца — указательный, средний, безымянный и мизинец — работают аналогично друг другу, и потеря одного из них имеет гораздо меньшие последствия, чем потеря большого пальца. На этом и основана вторая методика реконструкции большого пальца. Как вы думаете, что приходит в голову хирургу, если незаменимого большого пальца не хватает, а рядом расположились четыре его недостаточно занятых дружка? Разумеется, позаимствовать один из них! Обычно выбирают самый близкий — указательный. Хирург укорачивает его и разворачивает в положение большого. Эта процедура сложнее, чем удлинение остатка пальца, рука становится четырехпалой, зато новый большой палец будет иметь ноготь, и восстановление пройдет быстрее.








Бывает, что на одной кисти руки не хватает сразу нескольких пальцев или пациенту нужны все пальцы. В этих случаях «пригласить соседа» не получится. Если не удается «уговорить» культю вырасти, хирург может прибегнуть к «краже». Жертвой становится стопа. Большие пальцы ноги по форме почти идентичны своим собратьям на руках, поэтому именно они чаще всего идут в дело — вот только место преступления выглядит довольно неприглядно.
Если похитить второй палец ноги, замена из него получится совсем тощая, зато ступня будет иметь аккуратные очертания. Такой вариант обычно выбирают в странах, где в помещении принято снимать обувь. На способность ходить и бегать отсутствие первого или второго пальца ноги почти не влияет.


Операция по пересадке пальца с ноги на руку длится от пяти до десяти часов и требует прекрасного владения навыками микрохирургии. Хирург определяет нервы, артерии, вены и сухожилия пальца стопы, изолирует их и отрезает вместе с костью. Ампутированный палец переносят на руку и стыкуют аналогичные ткани между собой. Хирург обычно крепит кость пересаженного пальца к оставшейся в руке кости с помощью стальных штырей.
Диаметр кровеносных сосудов — от полутора до трех миллиметров: их необходимо точно соединить практически невидимыми швами, ведь кровь должна двигаться по сосудам, не просачиваясь наружу. Когда кровообращение возобновится, концы кости будут спокойно заживать, не понимая, что стопа перепуталась с кистью руки. Пройдут месяцы, в пересаженный палец врастут новые нервные волокна, и чувствительность восстановится. По-английски получившуюся комбинацию иногда называют thoe.
(1) Примечание научного редактора
Специализируются на лечении травм, заболеваний и деформаций кистей рук.
(2) Примечание
Комбинация английских слов thumb («большой палец руки») и toe («палец ноги»).