Пройдите короткий опрос. Это важно для нас ❤️

‘Entire families are brought in as patients’ A photo report from inside the ‘red zone’ of a coronavirus hospital in Tver, where more than 200 patients are being treated
Мы говорим как есть не только про политику. Скачайте приложение.
Anastasia Chistyakova
Photojournalist
Like many other medical institutions across Russia, the Regional Clinical Hospital in Tver has undergone a partial restructuring — two of its medical buildings have been repurposed to treat coronavirus patients exclusively. I managed to visit one of them before it even opened. I saw walled-up routes (many of the passageways were closed, in order to separate recovered patients from the sick), special equipment, refurbishment, neatly made-up beds: preparations for receiving patients were already in full swing. In a little over two weeks, these rooms will be almost completely filled.
They began admitting COVID-19 patients here on April 10. At the hospital, which I was able to access to take photos for local media, I was warned that no one would be allowed inside without special covers for their camera and phone. Of course, I didn’t have anything that they said I needed with me — just a big bottle of disinfectant, which I was planning to use to clean my camera. The doctors helped me out and gave me the phone that is kept there constantly, at the epicenter of the coronavirus outbreak.

After you enter into the “red zone,” they take away your clothes and give you hospital clothes — even socks. But that’s the easiest part: then you have to put on a protective suit, two pairs of gloves, a cap, special shoe covers up to your knees, glasses, and, of course, a high-protection respirator. It’s hot to stand there even for literally a few minutes: it’s difficult to imagine how doctors work in these conditions for eight hours, or even more.





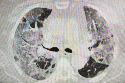
There are now more than 200 people in the hospital’s infectious disease ward. Some of them are being discharged, but new patients are being brought in to take their places immediately. The doctors say that the majority of the patients — around 80 percent — have mild cases of COVID-19. The remaining 20 percent are in very serious condition. These are the people who are at the greatest risk, including the elderly and those with chronic diseases. Not all of them can be saved.




I had the opportunity to speak with the doctors. They said they have enough of everything, but it’s clear that it’s difficult for them — both emotionally and physically. Some of them have had to adapt: for example, Galina Trufanova, who not so long ago was the head of the pulmonology department, and is now leading the infectious disease wing. When asked what she would like to say to the public, she asked people to stay home if possible. She also noted that entire families are sometimes brought to the hospital as patients.
In the Tver region, there are officially a little more than 750 cases of the coronavirus. The region has yet to introduce strict quarantine measures, and doctors are cautious about making any predictions.



Story by Anastasia Chistyakova
Translation by Eilish Hart